昨日,南京鼓楼医院心胸外科召开新闻发布会,宣布该院成功实施华东首例自体心脏移植术。8月23日,鼓楼医院心胸外科王东进主任为一位患有严重风湿性心脏病、心脏大如足球的患者,成功实施了自体心脏移植术,同时完成二尖瓣置换术、主动脉瓣置换术、三尖瓣成形术及房颤射频消融术。通俗地说,就是将患者的“坏心”取出体外,“整形” “瘦身”后,再移植回体内。这也是目前国内有报道的第二例原位自体心脏移植。

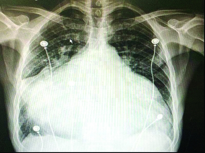
手术前的检查显示,患者心脏已经大如足球,撑满了整个胸膛。
A “巨心”撑满了胸腔
是正常人三四倍,心功能仅剩30%
58岁的老吴来自响水,20多年前,他就感觉活动后心慌、胸闷、气喘,体力活动轻度受限,感冒及天气寒冷时症状还会加重。一方面家庭贫困,另一方面自己也未重视,所以一直没有治疗。直到4年前,老吴因感冒咳嗽在当地医院就诊时,查出患有风湿性心脏病。
今年7月底,患者病情进一步加重,休息时都出现心慌、胸闷、气喘,双下肢水肿,全身无力;特别是到了晚上,呼吸困难,甚至睡觉都无法平躺;由于器官供血不足,还出现少尿等症状。县医院表示无能为力,推荐他来到南京鼓楼医院找到心胸外科王东进主任。
王东进主任检查后发现,老吴因严重的风湿性心脏病导致心脏衰竭,二尖瓣、三尖瓣和主动脉瓣均严重病变,还有重度肺动脉高压等,心功能只剩下30%。
从影像上看,老吴的心脏明显扩大,体积几乎是正常人心脏的3-4倍。尤其是左心房,正常人左心房的直径一般在3.5至4厘米,而患者左心房直径达到了14厘米,左心室也扩大了近一倍。从胸片上看,患者的心脏占胸腔比例高达95%,几乎撑满了整个胸腔,而正常人这个值是小于50%的。扩大的心脏严重压迫了周围的肺组织以及食管,严重影响肺功能,还造成患者吞咽困难。
B 传统手术不能“减负”
专家决定将心脏取出来“瘦身”
根据患者病情,内科保守治疗已无可能,单纯的换瓣手术效果也不好。“患者心脏,尤其是左心房太大,单纯的换瓣手术无法解决因左心房扩大导致肺受压迫的问题。”王东进主任解释说,最终在综合评估患者病情后,决定在实施换瓣手术的同时,把患者的左心房取出来,进行部分切除,达到为心脏“减负”的目的。
通俗地说,就是将“坏心”取出体外,“整容”后再移植回体内。在医学中,这被称为“原位自体心脏移植”。其手术操作和异体心脏移植在程序上是一样的,只不过异体心脏移植是移植别人的好心脏,而自体移植是将自己的坏心脏做一番“整形”和“瘦身”后,再“装”回去。
据了解,自体心脏移植最早用于某些心脏恶性肿瘤的切除中。1999年,国外专家首先将其应用于瓣膜病导致过大左心房的治疗。而2010年,北京协和医院才在国内首开先河,开展了首例原位自体心脏移植。
C 255分钟心脏停跳
将冰屑铺在胸腔内做手术
通过精心准备,8月23日,以王东进主任、潘俊博士以及麻醉师骆璇、体外循环师陈扬为首的手术团队如期为患者进行了手术。
早上10点,麻醉等一系列准备过后,医生打开老吴的胸腔,一个巨大的心脏呈现眼前,“好像一个足球那么大,”王东进主任回忆说。
11点15分,在体外循环心脏停跳后,切断上、下腔静脉、主动脉及肺动脉后,患者老吴的心脏被取出。鼓楼医院心胸外科团队先环形切除大部分左心房壁,并对残留左心房及右心房进行房颤射频消融,在完成二尖瓣置换、主动脉瓣置换和三尖瓣成形术后,心脏再予以缝合回原位心包腔。
王东进主任告诉记者,在将患者的心脏取出后,并不是想象中那样,把心脏放在盛满冰块的盆里面进行手术,“为了保护其他的脏器,我们还是选择将心脏放在胸腔内进行手术。”王东进说,为了保持胸腔的低温环境,也需要在胸腔内放置冰块,但为了怕冰块冻伤器官,他们把用生理盐水冻成的冰块,磨成冰屑铺在患者的胸腔里面。同时,为了让患者的心脏在停跳时心肌细胞不坏死,为患者的心脏注入了心肌保护液,这样心脏在没有血液供应的条件下,也能维持4-5个小时。
下午3点30分,经过255分钟后,患者心脏顺利复跳。直到晚上7点,历时9个多小时的手术终于顺利结束,病人被转入监护室接受监护和护理。
目前,患者心功能恢复良好,超声显示左心房直径从术前的14厘米已缩至6.6厘米。明天,老吴将正式出院,而王东进主任说,经过一段时间的康复,他的心功能也将恢复至接近常人水平。
(责任编辑:陈韶鹏)